孩子被父母打骂是生活中常见的一件事,很多家长都奉行打骂教育,当孩子不听话,成绩分数不理想时,家长们就会以打骂的方式来教育孩子成才。这样的方式方法真的对吗?文明社会为什么不用文明的方法来解决问题了。
不要以为孩子是私人财产,就可以随意打骂,如果在美国这种父母是可以被剥夺孩子教育权利的。经常被打骂孩子的智商肯定会受到影响,至于影响什么程度,且听小编细细道来:

经常被打骂孩子的智商
一、我们来看下网络上有关”经常被打骂孩子的智商“问答

【问】经常打小孩会对他的智力发育有影响吗?
【答1】家长经常打孩子, 骂孩子智力发育是一定会有所影响的,因为孩子的 智商 发展是一个持续的过程,除了先天因素,外界环境也是至关重要的。孩子如果长期生活在一个暴力恐怖的环境中,不利于他的健康成长,当然就更谈不上智商的良好发展。
【答2】如果经常打小孩一般对小孩的智力发育有一定的影响的,孩子不是打大的,如果宝宝做的不对的时候,是需要说服教育,注意宝宝成长期间营养的补充,以及补钙和 维生素 的补充,祝健康快乐,不要打孩子!
【答3】如果经常打孩子,智力上可能不会有什么影响,但是容易影响宝宝的心理健康,容易有心理阴影,没有 安全感 ,觉得父母不爱自己,会孤独, 自卑 。

二、经常被打骂孩子的智商
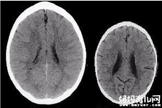
下面是两个三岁孩子的大脑扫描图,仔细看看它们有何不同?很明显,左边那个要比右边的大得多吧,同时,左边的大脑图片中“模糊”的黑暗区域更少。

经常被打骂孩子的智商
那么,是什么导致二者大脑发生了如此巨大的差距呢?右边的孩子在发育过程中,到底发生了什么疾病或者可怕的事故?答案是NO~其实真正的原因是,两个孩子的母亲对待他们的方式。左边的孩子有一位很疼爱她的妈妈,对她的任何言行都予以温柔回应。而右边的孩子则经常被自己的母亲忽视和虐待。
神经学家解释称,右边的大脑容量明显少了很大一块,这缺失的区域会使得孩子不可能拥有一些能力。与左边的孩子相比,右边的孩子在成年时将没那么聪明,缺乏同情心,更有可能沉迷于毒品和参与暴力犯罪。同时,右边的孩子长大后也更容易事业,并面临精神疾病和其他严重的健康问题。
加利福尼亚大学洛杉矶分校的阿伦·斯霍勒(Allan Schore)教授曾调查了无数科学文献,据他发现,婴儿大脑发育和母亲的行为有关。他强调道,大脑细胞的生长是“婴儿和主要看护者(通常是母亲)交互作用的结果。”而婴儿大脑的发展确实需要母亲和婴儿之间的良性互动,脑回路的发展也取决于它。先天和后天是分不开的:一个婴儿的基因将会深刻受到其被对待方式的影响。如果婴儿在生命的头两年没有被好好对待,那么负责大脑功能各个方面——包括智商的基因,都无法起到作用,甚至不会存在。
人类80%的大脑细胞是在出生后的头两年中形成的。如果在此过程中出现了差错,那么将对大脑造成无法弥补的伤害。可以说,婴儿在2岁前是否拥有足够的爱,将决定其成年后的大脑功能是否齐全。孩子被忽视和虐待地越严重,其大脑损失就越大。
在美国,为解决越来越高的青少年犯罪问题,部分地区一直在试图推行“早期干预”政策。它包括对那些被确定为忽视自己孩子的“危险”的妈妈,能够由一个护士定期对她们进行访问,以指导她们如何照顾新生儿。而数据显示,接受过这种访问的母亲,其孩子要发展更好,例如,他们被拘捕的几率少了50%,被定罪的几率少了80%,吸毒的几率也显著降低。
小编的话:看了以上的分享,现在家长们知道了打骂孩子,对孩子的智商影响极大了吧。所以,在生活中或是孩子犯错了,原则性上的错误,父母应该就事论事地给孩子讲清楚道理,告诉他错在哪里,并希望他下次不会再犯;若是孩子学习成绩没考好,父母要搞清楚是因为孩子不会做题而失分,还是因为顾意的。若是顾意的话,就要搞清楚原因。(也许是孩子想通过这种方式引起老师和家长的注意)其实,相信孩子的本性都是善良,纯真的,没有绝对好孩子,坏孩子,关键看家长和老师如何引导,教育罢了。
| 点赞 | 没用 | 路过 |












正在加载中... 






