婴幼儿的许多器官尚未完全发育成熟,除了爸妈早已熟知的大脑、肝脏、胃肠等,还有一个,容易被忽视,这就是皮肤。
通常要到3岁之后,孩子的皮肤才能发育的和大人一样。在此之前,不论是洗澡等简单的清洁护理,还是涂抹护肤品等“进阶式护理”,都要遵循“宝宝的皮肤规则”。
脸上、手上,都脱皮了,抹点护肤霜行吗?娃脸蛋上红红的小疱,是啥呀?听说,抹的药膏里有激素,能随便用吗?
赶紧来看看今天的内容,让宝爸妈发愁的皮肤问题,今天全讲彻底了。
夏季常见的疹子防治
伤皮容易,修复难!尤其是炎炎夏日,宝宝的皮肤更易受到皮疹、皮炎、过敏、瘙痒、起皮的困扰,又痒又痛,很难准确辨别起因,且一旦抓破了更糟。除了补水和加强护理,有效的治疗也很要紧。
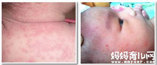
湿疹

宝宝湿疹图片
特点:是伴有奇痒的以皮肤干燥、脱屑、裂口、渗水为主要特征的皮疹。除与皮肤发育、气候干燥有关,反复出现应怀疑过敏。
治疗:对湿疹,激素+抗生素软膏联合应用效果显著。
①湿疹发作时,因为皮肤粗燥和存在小裂口,常并发细菌感染。激素+抗生素1:1混合外用,效果较好,且应逐渐减少激素用量。
②婴幼儿湿疹多由过敏所致。及时去除过敏原,有效从根本上缓解湿疹。
③用清水洗澡,保持皮肤清洁,以避免和减少感染发生。
④尽可能避免湿、热和抓痒。
⑤少用化学清洗剂。
⑥保持皮肤湿润。可用植物性安全的保湿霜。
⑦在有经验医生指导下,正规治疗。切忌犹豫不定,不敢用药,断续治疗,结果拖延湿疹存在时间。最终,用药时间长,过敏持续,且过敏程度渐增强。
汗疱疹

宝宝汗疱疹图片
特点:宝宝的皮肤上易出现红红的小疱,里头有白点,可融合,小疱内可出现透明液体,形成汗疱疹,严重时出现脓液,形成脓疱疹。一般会伴有瘙痒或烧灼感。
治疗:汗疱疹主要与捂热有关,应注意保持皮肤干爽。也有可能与母乳喂养方式有关。吃奶时婴儿脸部与妈妈乳房密切接触。每次母乳喂养完,应用柔软毛巾擦拭婴儿脸部蘸去汗渍。
荨麻疹
特点:身上出现的高出皮肤、外形不规整、红色且极痒的皮疹是荨麻疹。它来去匆匆,突然出现,很快消失,反复发作。连接成不规则片状的轻度红肿具有剧烈痒感的皮疹,医学上称之“风团”。

荨麻疹图片
治疗:荨麻疹出现时,涂抹外用药物效果并不理想,抗过敏药物(仙特明、开瑞坦、扑尔敏等)和激素(地塞米松、氢化可的松)有明显缓解效果,严重者可口服甚至注射激素。短期使用上述药物孩子一般不会出现明显不良反应。
药物治疗只是为了治疗荨麻疹带来的不适,缓解荨麻疹的急性变化,比如痒感、急性血管神经性水肿等。若不去寻找过敏原,荨麻疹还会反复出现。
痤疮
特点:脸颊部出现的粒状红疹,有些白尖,甚至会化脓,称婴儿痤疮,与产后离开母亲,激素水平变化有关。本身与室内温度高无直接关系,但温度过高可使皮疹加重。

婴儿痤疮图片
治疗:保持皮肤清洁,出现化脓可局部用酒精或碘伏,等待自行好转。
水痘
特点:痘是由水痘-带状疱疹病毒所致,通过呼吸道传播。初次表现为典型的红疹-水疱-结痂三期皮疹共存现象。

婴儿水痘图片
治疗:如果起水痘的孩子没有高热或其它不适,家长不要惊慌。5~7天就会消退。
只要不抓破,水痘部位今后不会留痕迹。
即使接种过水痘疫苗也有可能再出水痘,但症状轻,不伴高热,一般状况好!
如果妈妈疑似出现水痘,也应暂停母乳喂养,因为水痘小泡内的液体具有传染性。新生儿患上水痘治疗较困难。
尿布疹
特点:婴儿臀部皮肤本身非常薄嫩,并且经常受尿便刺激,加上大人经常比较用力地擦拭局部等,很容易出现臀部皮肤受损。

尿布疹图片
治疗:出现尿布疹后,必须保持皮肤干燥,透气。干燥不仅易于伤口愈合,而且还是最好的杀菌剂。

尿布疹时千万不要再涂含有氧化锌的护臀膏,这样局部不透气,会使尿布疹重。只有出现感染后才需使用抗细菌或霉菌的药物。
| 点赞 | 没用 | 路过 |












正在加载中... 






