宝宝过敏包括宝宝过敏的原因?宝宝过敏的症状?宝宝过敏怎么办?过敏宝宝的护理方法?过敏宝宝的饮食治疗?如何防止宝宝过敏?宝宝最常见的三种过敏类型?近年…
痱子包括什么是痱子?引起痱子的原因?痱子的症状?痱子和湿疹的区别?痱子的治疗?宝宝吃什么可以去痱子?怎样预防痱子生长?痱子又称热痱、红色粟粒疹,痱子…
脑膜炎包括什么是脑膜炎?脑膜炎的分类?脑膜炎的症状?引起脑膜炎的原因?常见的小儿脑膜炎有几种?结核性脑膜炎对小儿智力有影响吗?流行性脑膜炎症状?流行…
宝宝拉肚子包括宝宝拉肚子的症状?宝宝拉肚子的原因?宝宝拉肚子怎么办?宝宝拉肚子吃什么食物?宝宝拉肚子吃什么药?宝宝拉肚子引发的并发症?宝宝拉肚子何时…
胆道闭锁包括什么是胆道闭锁?胆道闭锁的分类?胆道闭锁的发病原因?胆道闭锁的症状?胆道闭锁引起的并发症?胆道闭锁的诊断方法?胆道闭锁的治疗方法?胆道闭…
兔唇包括什么是兔唇?兔唇的临床表现?导致兔唇的原因?兔唇宝宝的喂养方法?预防兔唇的方法?治疗兔唇的有效方法?唇裂俗称兔唇、缺嘴、豁嘴,是口腔颌面部常…
婴儿猝死包括什么是婴儿猝死?婴儿猝死的原因?哪些宝宝容易发生猝死?预防婴儿猝死的方法? 婴儿猝死的急救措施?母乳喂养能防婴儿猝死吗?分开睡可降低婴儿…
什么是肠套叠?小儿发生肠套叠有什么症状?肠套叠的危害有哪些?肠套叠又该怎么预防和诊断?摇篮育儿百科为您详细解读关于肠套叠的相关知识。
婴儿捂热综合症包括什么是婴儿捂热综合症?婴儿捂热综合症发病原因?婴儿捂热综合症的临床表现?婴儿捂热综合症怎样救治?婴儿捂热综合症的预防 ?婴儿捂热综…
疱疹性口炎是一种由单纯疱疹病毒所致的口腔黏膜感染性疾病,临床上以出现簇集性小水疱为特征,有自限性,易复发,以6个月到2岁的婴幼儿最易罹患。疱疹性口炎的…
疝气包括疝气是什么?疝气形成的原因?疝气的症状?疝气并发症?疝气类型?疝气怎么治疗?疝气手术后注意事项?疝气预防保健?疝气,即人体组织或器官一部分离…
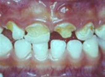
奶瓶齿包括什么是奶瓶齿?奶瓶齿的原因?如何科学预防奶瓶齿?奶瓶齿会对宝宝产生的危害?婴儿奶瓶齿该如何处理?奶瓶齿是指已经长了牙齿,但还在用奶瓶吃奶的…
婴儿扁平足包括什么是婴儿扁平足?引起婴儿扁平足的原因?婴儿扁平足的危害?如何判断是否属于婴儿扁平足?婴儿扁平足如何矫正?婴儿扁平足可以预防吗?扁平足…
围生期窒息包括什么是围生期窒息?围生期窒息的原因?如何防范新生儿窒息?围生期窒息的紧急急救方法?围生期窒息的后遗症?围生期窒息该如何预防及治疗?围生…
订阅本站信息,我们将每周发送最新信息.