荨麻疹俗称风疹块。是由于皮肤、黏膜小血管扩张及渗透性增加而出现的一种局限性水肿反应,通常在2~24小时内消退,但反复发生新的皮疹。病程迁延数日至数月。…
绿色生态育儿理念包括绿色生态育儿理念?绿色生态育儿的方法及好处?绿色生态育儿理念实践?国外绿色生态育儿理念面面观?绿色生态育儿的注意事项?何为绿色生…
真新娘?真新娘内容?真新娘作者?《真新娘》讲述的是一个漂亮的小女孩,她有一个恶毒的继母,继母每天都让她做各种各样的活,有一天她甚至让她一个晚上挑完十…
宝宝腹泻,是多病原、多因素引起的以腹泻为主的一组疾病。主要特点为大便次数增多和性状改变,可伴有发热、呕吐、腹痛等症状及不同程度水、电解质、酸碱平衡紊…
夏娃的孩子们?夏娃的孩子们内容?《夏娃的孩子们》讲了夏娃和亚当有许多孩子,有一天上帝要来了,夏娃把漂亮的孩子打扮得漂漂亮亮,把长得丑的孩子藏起来,不…
什么是水壶?水壶的分类?水壶除水垢的几种方法?水壶是一种最常见的盛水的容器。
绘本包括什么是绘本?绘本的历史溯源?绘本与普通图画书的区别?绘本的发展?绘本阅读的意义?读绘本是否开发智力?多大的宝宝适合看绘本?儿童绘本发展趋势?…
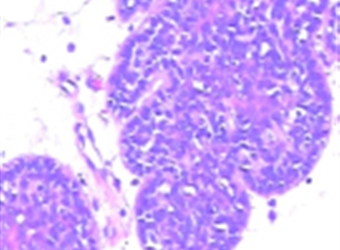
什么是皮下囊肿?皮下囊肿怎么治疗?任何年龄均发生,以青年时期头面、臂、背部发病多见。为一柔软或多个柔软或坚实的球状物,直径在1~3cm不等。粉瘤埋藏于皮…
体检包括:体检,体检项目,体检前注意事项,体检表,体检时间及周期,随着年龄的增长,人类罹患某些疾病的机会也在增加。这些疾病大都是早期没有明显症状,但往往…
神经发育包括神经发育迟滞?神经发育迟滞的诊断?神经发育迟滞的治疗?神经发育检查?早产儿神经发育?神经纤维构成的组织,把脑和脊髓的兴奋传给各个器官,或…
订阅本站信息,我们将每周发送最新信息.